86歳の男性。右胸部痛と食欲不振とを主訴に来院した。
現病歴:10 年前から COPD のために外来通院中であった。2週間前から微熱、全身倦怠感および食欲不振を自覚していた。昨日、右胸部痛が出現し、本日夜間に39.0 ℃の発熱と右胸部痛が増悪したため、救急外来を受診した。
既往歴:COPD と高血圧症のため通院中である。
生活歴:妻および長男夫婦と同居している。喫煙は 20 本/日を 70 歳まで 50 年 間。飲酒はビール 350 mL 2、3本/日を 50 年間。家族歴 : 特記すべきことはない。
現症:意識は清明。身長 160 cm、体重 52 kg。体温 38.8 ℃。脈拍 100/分、整。血圧 120/68 mmHg。呼吸数 24/分。SpO2 86 %(room air)。眼瞼結膜と眼球結膜とに異常を認めない。口腔と咽頭とに異常を認めない。頸静脈の怒張を認めない。甲状腺と頸部リンパ節とを触知しない。心音に異常を認めないが、右胸部で呼吸音が減弱している。打診では右肺で濁音を呈する。腹部は平坦、軟で、肝・脾を触知しない。四肢の筋力は保たれている。腱反射に異常を認めない。
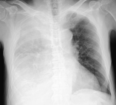
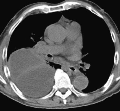
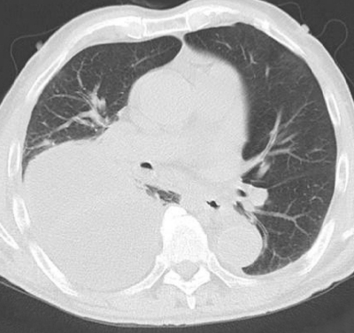
検査所見:血液所見:赤血球 355 万、Hb 12.1 g/dL、Ht 36 %、白血球 16,500 (桿状核好中球 25 %、分葉核好中球 65 %、好酸球 1%、単球 2%、リンパ球 7%)、血小板 40 万。血液生化学所見:総蛋白 5.9 g/dL、アルブミン 2.2 g/dL、AST 29 U/L、ALT 18 U/L、LD 173 U/L(基準 176〜353)、ALP 223 U/L(基準 115〜359)、γ-GTP 44 U/L(基準 8〜50)、CK 260 U/L(基準 30〜140)、尿素窒素 35 mg/dL、クレアチニン 1.6 mg/dL、血糖 161 mg/dL、HbA1c 5.7 % (基準 4.6〜6.2)、Na 131 mEq/L、K 4.3 mEq/L、Cl 97 mEq/L、Ca 8.4 mg/dL。CRP 31 mg/dL。動脈血ガス分析(room air):pH 7.55、PaCO2 32 Torr、PaO2 56 Torr、HCO3- 28 mEq/L。心電図で異常を認めない。臥位のポータブル胸部エックス線写真と胸部CTとを別に示す。
この画像所見をきたす原因として最も考えられるのはどれか。
a. 低アルブミン血症
b. 肺癌の胸膜播種
c. 横隔神経麻痺
d. 細菌感染
e. 腎不全
次に行うべき検査はどれか。
a. 胸腔穿刺
b. FDG-PET
c. 心エコー検査
d. 気管支鏡検査
e. 胸部造影 MRI
