58歳の女性。血痰を主訴に来院した。
現病歴:数年前から咳嗽、喀痰および労作時呼吸困難を自覚していたが、喫煙習慣が原因と自己判断し受診はしていなかった。数日前から喀痰に鮮血が混じるようになったため受診した。
既往歴:20 歳時に交通事故による右膝蓋骨骨折の手術を受けた。
生活歴:喫煙は 20 歳から 55 歳まで 40 本/日。飲酒は機会飲酒。
家族歴:特記すべきことはない。
現症:身長 153 cm、体重 52 kg。体温 36.2 ℃。脈拍 80/分、整。血圧 132/74 mmHg。呼吸数 16/分。SpO2 97 % (room air)。眼瞼結膜と眼球結膜とに異常を認めない。右背部に coarse crackles を聴取する。腹部は平坦、軟で、肝・脾を触知しない。表在リンパ節を触知しない。
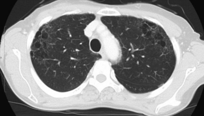
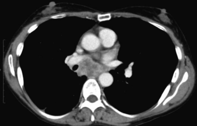
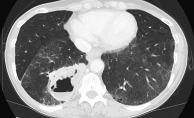
検査所見:血液所見:赤血球 350 万、Hb 9.8 g/dL、Ht 30 %、白血球 10,300、血小板 30 万。血液生化学所見:AST 19 U/L、ALT 15 U/L、LD 158 U/L (基準 176〜353)、γ-GTP 16 U/L (基準 8〜50)、総ビリルビン 0.4 mg/dL、総蛋白 7.2 g/dL、アルブミン 3.8 g/dL、尿酸 2.9 mg/dL、尿素窒素 11 mg/dL、クレアチニン 0.5 mg/dL、 Na 140 mEq/L、 K 4.0 mEq/L、 Cl 105 mEq/L、 Ca 8.9 mg/dL、Fe 20 μg/dL、TIBC 231 μg/dL (基準 290〜390)、フェリチン 643 ng/mL (基準 20〜120)、CEA 4.5 ng/mL (基準 5以下)。CRP 1.4 mg/dL。画像所見:上肺野(肺野条件)、中肺野(縦隔条件)、下肺野(肺野条件)及び上腹部の造影CTを別に示す。呼吸機能所見:現在と 20 歳時の膝蓋骨骨折手術前のフローボリューム曲線を別に示す。
20歳時と比べた現在のフローボリューム曲線の所見として正しいのはどれか。
a. V25 の増加
b. 残気量の低下
c. 肺拡散能の上昇
d. 努力性肺活量の低下
e. ピークフローの上昇
実施した生検の結果では、いずれも肺腺癌の所見であった。患者に説明する内容として誤っているのはどれか。
a. 治癒は困難である。
b. 腫瘍の遺伝子検査が必要である。
c. 薬物による抗癌治療が適応となる。
d. セカンドオピニオンを受けることができる。
e. 緩和ケアは抗癌治療が終了してから始める。
現説明を聞いた患者は家族と相談してからの意思決定を希望し、1週間後の再受診を予定した。その再受診の前日に咳嗽の増加に伴い1回30〜50mL程度の喀血を連続して3回認めた。翌日の受診時、咳嗽を頻繁に認めるが喀血は認めず、喀痰には赤褐色の血液が付着している。
脈拍 104/分、整。血圧 140/88 mmHg。呼吸数 12/分。SpO2 96 % room air 。
血液所見:赤血球 339 万、Hb 9.5 g/dL、Ht 29 %、白血球 8,900、血小板 29 万。
対応としてまず行うのはどれか。
a. 赤血球液-LR 輸血
b. 鎮咳薬投与
c. 鉄剤投与
d. 酸素投与
e. 補液
