46 歳の女性。急性虫垂炎の手術のため入院中である。
現病歴 : 3日前に急性虫垂炎のため虫垂切除術を施行した。昨日から 38.0 ℃の発熱を認めているため、本日の朝に診察を行った。
既往歴 : 特記すべきことはない。
生活歴 : 喫煙歴と飲酒歴はない。
家族歴 : 父親が膵癌のため 68 歳で死亡。
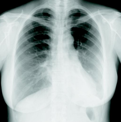
現症 : 意識レベルは JCSⅠ-1、GCS 15(E4V5M6) 。身長 155 cm、体重 48 kg。体温 37.2 ℃。脈拍 112/分、整。血圧 78/40 mmHg。呼吸数 28/分。SpO₂ 94%(room air) 。頸部リンパ節に腫脹を認めない。心音に異常を認めない。呼吸音は左下胸部で減弱し、coarse crackles を聴取する。腹部は平坦、軟で、肝・脾を触知しない。腹部の手術創部に異常を認めない。背部に叩打痛を認めない。両下腿に浮腫を認める。
検査所見 : 血液所見:赤血球 388 万、Hb 11.2 g/dL、Ht 36 %、白血球 9,800(桿状核好中球 39 %、分葉核好中球 45 %、好酸球3%、好塩基球2%、単球4%、リンパ球7% )、血小板 18 万、D ダイマー 3.4 μg/mL(基準 1.0 以下)。血液生化学所見:総蛋白 6.5 g/dL、アルブミン 2.9 g/dL、尿素窒素 21 mg/dL、クレアチニン1.2 mg/dL、Na 139 mEq/L、 K 4.1 mEq/L、 Cl 108 mEq/L。 CRP 12 mg/dL、乳酸 14 mg/dL(基準5〜20)。胸部エックス線写真を別に示す。血液培養セットから Klebsiella pneumoniae が検出された。
診断として最も考えられるのはどれか。
a. 肺炎
b. 腎盂腎炎
c. 創部感染
d. 急性胆管炎
e. 化膿性脊椎炎
酸素投与とともに、生理食塩液 1,500 mL を輸液したところ、体温 38.1 ℃、脈拍 96/分、整。血圧 112/64 mmHg、呼吸数 24/分、SpO₂ 97 % (鼻カニューラ 3 L/分酸素投与下)となった。
この患者の状態はどれか。2つ選べ。
a. 菌血症
b. 敗血症
c. 多臓器不全
d. 敗血症性ショック
e. 播種性血管内凝固<DIC>
抗菌薬治療を開始した。効果判定にまず用いるべき指標はどれか。
a. 呼吸数の減少
b. 下腿浮腫の消失
c. CRP 値の正常化
d. 白血球数の正常化
e. D ダイマーの正常化
