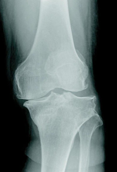
72 歳の女性。左膝関節痛を主訴に来院した。2年前に歩行時の左膝関節痛を自覚し徐々に悪化している。最近歩行が困難になったため受診した。左膝関節の外傷歴はない。
身長 155 cm、体重 64 kg。体温 36.3 ℃。脈拍 64/分、整。左膝関節に膝蓋跳動と内反変形とを認めるが発赤と熱感はない。左膝関節エックス線写真を別に示す。
今後の対応の説明で誤っているのはどれか。
a. 「大腿部の筋力を強くしましょう」
b. 「杖の使用は避けてください」
c. 「正座は避けてください」
d. 「体重を減らしましょう」
e. 「手術療法は有効です」
