64歳の女性。意識障害のため救急車で搬送された。
現病歴:自宅の脱衣場で意識がないのを夫が発見して救急要請をした。本人が入浴のため脱衣場に行って約1時間後に発見し、嘔吐した痕跡を認めたが、明らかな頭部外傷は認めなかった。救急隊到着時には心停止であったが、胸骨圧迫とバッグバルブマスク換気により自己心拍は再開し、救急搬送となった。
既往歴:54歳から高血圧症で降圧薬を服薬中である。 生活歴:喫煙は 15 本/日を44年間。飲酒はビール 350 mL/日を週6回。夫と2人暮らし。
家族歴:母は85歳時に脳出血で死亡。
現症:意識レベルはJCS III-300。身長 160 cm、体重 54 kg。体温 36.0 ℃。心拍数 64/分、整。血圧 98/50 mmHg。換気回数 10/分。SpO2 92%(バッグバルブマスク換気による調節呼吸)。舌根が沈下している。瞳孔は両側ともに径4mm、対光反射は両側で遅延している。心電図モニターは洞調律であるが、巨大陰性T波を認める。
搬入時に優先して行うべきなのはどれか。
a. 気管挿管
b. アドレナリン筋注
c. プレドニゾロン静注
d. グルコン酸カルシウム静注
e. 電気的除細動(電気ショック)
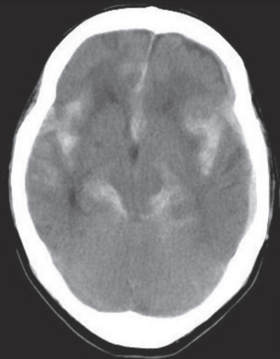
初診時に撮影した頭部単純CTを別に示す。入院後、ICUに入室して保存療法で経過を観察した。翌日の所見は以下のとおりであった。
意識レベルはJCS III-300。体温37.2℃。脈拍120/分、整。血圧94/60mmHg(昇圧薬投与下)。SpO2 98%(FIO2 0.5で人工呼吸器装着)。瞳孔は左右とも径6mmに拡大して固定している。角膜反射、咽頭反射および咳反射がない。顔面の疼痛刺激に対して体動はなく瞳孔も無反応である。
脳死判定のためにさらに行うべきなのはどれか。
a. 頭部MRI
b. 脳波検査
c. 視覚誘発電位
d. 針筋電図検査
e. 末梢神経伝導検査
