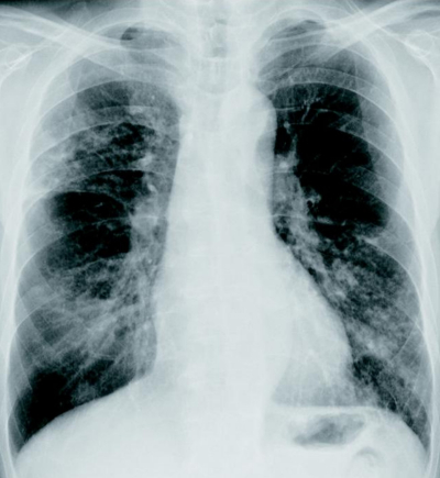
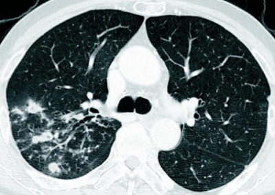
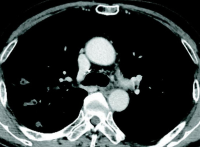
71 歳の男性。血痰を主訴に来院した。2か月前から微熱があり、2週前から断続的に血痰の排出が続いている。かかりつけ医で糖尿病の内服加療中であるが、コントロールは良くないと言われているという。呼吸音は両側胸部に coarse cracklesを聴取する。胸部エックス線写真及び胸部造影 CTを別に示す。
次に行うべき検査はどれか。
a. FDG-PET
b. スパイロメトリ
c. 喀痰抗酸菌検査
d. 尿中肺炎球菌抗原検査
e. 血漿 EGFR 遺伝子検査
71 歳の男性。血痰を主訴に来院した。2か月前から微熱があり、2週前から断続的に血痰の排出が続いている。かかりつけ医で糖尿病の内服加療中であるが、コントロールは良くないと言われているという。呼吸音は両側胸部に coarse cracklesを聴取する。胸部エックス線写真及び胸部造影 CTを別に示す。
次に行うべき検査はどれか。
a. FDG-PET
b. スパイロメトリ
c. 喀痰抗酸菌検査
d. 尿中肺炎球菌抗原検査
e. 血漿 EGFR 遺伝子検査
亜急性の経過、血痰、画像所見、糖尿病による易感染により肺結核の可能性を考える必要あり。
a FDG-PETは癌の遠隔転移を調べる検査。肺癌も鑑別には入るには入ると思うけど、経過の早さや発熱の症状を考えると可能性は低め。
b スパイロメトリ(呼吸機能検査) 結核を疑う患者に呼吸機能検査はしないと思う。菌を撒き散らしそうなので。
c 正解。
d 尿中肺炎球菌抗原検査。肺炎球菌での肺炎の場合、急性の経過、症状も重いと思われる。
e EGFR検査。肺癌の治療方針を決めるために調べる。EGFRの有無により、投与する抗がん剤の種類も変わってきます。イレッサとかで調べてみてください。
過去問チャートは、医療系国家試験の過去問をテーマ別に整理・解説した無料の学習サービスです。
※公式問題・正答は厚生労働省公開資料をもとに整理しています。
システム設計・解説記入:米澤 昌紘(X : @leknyan)
(医師/日本橋内科クリニック院長)